清潔で美しい歯を保つ韓国の口腔ケア事情
コーヒー好きなのに歯が白い?韓国で根付く歯の美習慣とホワイトニング事情とは?
- 日常の歯みがき習慣
- マウスウォッシュ&デンタルフロス
- 歯のホワイトニング治療4
- 定期的な歯のクリーニング習慣2
- オーラルプロバイオティクスで口腔ケア
- セラミックベニア(ラミネート)
最新韓国旅行情報をお届け!Creatripです
美容や健康への意識が高い韓国では「口元の清潔感」も重視されており、自身のケアとしてだけでなく、他人に迷惑をかけないエチケットとして食後に歯を磨くと答える人も多いほど。
今回は、そんな韓国の口腔ケア事情と清潔で美しい歯を保つための秘訣をご紹介します!
日常の歯みがき習慣

韓国では「1日3回、食後3分以内に3分間歯を磨く」という習慣に代わり、より効果的で歯に優しいケアとして「0123習慣」が推奨されています。これは「歯茎に刺激を与えない優しいケアで、食後1分以内に2分以上かけて、1日3回以上歯を磨く」というもの。
また、韓国には喫煙者やコーヒー愛好家が多く、歯に着色しやすい料理も多いため、歯の黄ばみを防ぎ口内を清潔に保つため、こまめな歯磨きが欠かせません。
そのため、韓国では地下鉄駅やショッピングモールのトイレなど、公共の場所で歯を磨く人を見かけることもよくあります。
マウスウォッシュ&デンタルフロス

韓国では、実際にマウスウォッシュやデンタルフロスを携帯する人が多く、会社のトイレにマウスウォッシュのディスペンサーが設置されていることもあります。
最近では、固形歯磨き粉を導入する企業も増えているそうです。こうしたことから、韓国ではそれほどまでに口腔の清潔が重視されていることがわかります。
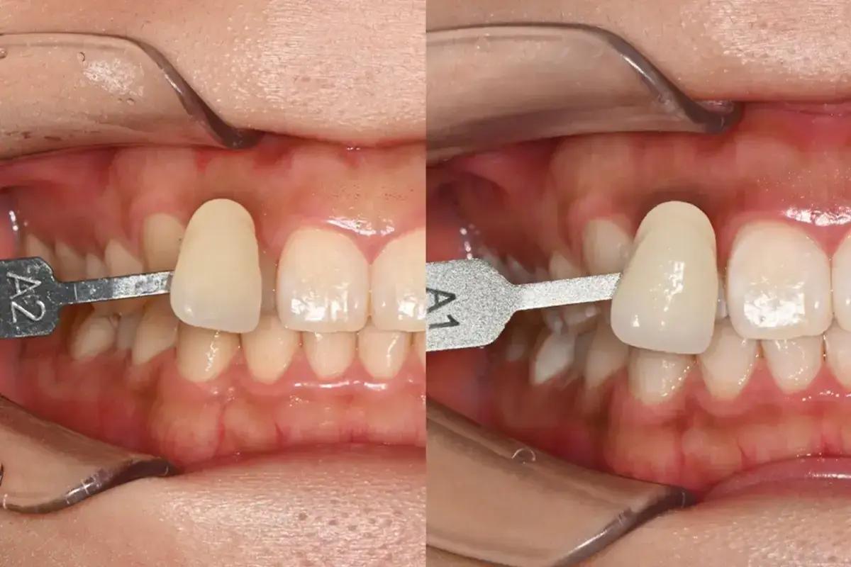
歯のホワイトニング治療

韓国では外見への意識が非常に高く、白く整った歯は清潔感の象徴とされています。そのため、多くの人が面接や特別なイベントの前にホワイトニングを受けるのが一般的。
需要が高い分、韓国の歯科医はホワイトニングの技術に長けており、使用される薬剤や機器の品質も非常に優れています。さらに、ホワイトニングの費用が日本より手頃なのも魅力です。
[스팟] 延世Uline歯科医院 江南駅店
[스팟] ソウルセンタム歯科クリニック
[스팟] le:歯科クリニック (ル歯科)
[스팟] New York Yonsei Dental Clinic(相談無料予約)
定期的な歯のクリーニング習慣

歯のクリーニングは、歯の汚れや歯石を取り除き、虫歯や歯周病のリスクを減らす効果があります。口腔内を清潔に保ち、健康な歯を維持するには、定期的なクリーニングが欠かせません。
ちなみに、韓国では国民健康保険への加入が義務付けられており、年に1回、歯のクリーニングを割引料金で受けられる制度があります。韓国で定期的な口腔ケアが習慣化しているのは、こうした国のサポートも大きく影響しているかもしれません。
[스팟] 江南365歯科医院 蚕室店
[스팟] 延世グッデイ歯科医院 江南店(歯科クリーニング)
オーラルプロバイオティクスで口腔ケア

最近は、オリーブヤングでも“オーラルケアコーナー”が設けられ、注目を集めています。口腔内プロバイオティクスを摂取することで、口内の悪玉菌の繁殖を抑え、口臭の改善だけでなく、虫歯や歯周病の予防にもつながります。
セラミックベニア(ラミネート)

韓国では1990年代からラミネートが導入され、2000年代にはスターやアイドルの間でも定番の審美治療に。ただ、従来のものは歯を大きく削る必要があるのが難点でした。
そこで最近注目されているのが、歯をほとんど削らない「ゼロネート」です。自然な歯に近い透明感があり、矯正やホワイトニングのような効果も同時に期待できます。
仕上がりの美しさだけでなく、持続性も高いのが特徴です。
[블로그] 韓国で人気の歯科治療とおすすめクリニック
[블로그] 韓国で人気のホワイトニングを徹底解説!
記事に関するご意見·ご質問等は、コメント欄またはお問い合わせメール〈help@creatrip.com〉まで、お気軽にメッセージをお寄せください。(Instagram/X/TikTok/Threads)
記事に関するご意見·ご質問等は、コメント欄またはお問い合わせメール〈help@creatrip.com〉まで、お気軽にメッセージをお寄せください。




