Hello,大家好,我哋係由韓國人每日提供最新韓國旅行資訊嘅Creatrip。
大家知唔知其實好多韓星嘅潔白整齊牙齒同咁charm嘅笑容都有一個小秘密?除咗箍牙,唔少韓星都會去做所謂嘅「陶瓷牙齒貼片/瓷牙貼片」。而家韓國嘅瓷牙貼片技術發展迅速,甚至唔需要磨走真牙!到底瓷牙貼片原理係點,有邊啲韓國明星做過瓷牙貼片,佢哋又係喺邊度整㗎呢?
對其他韓國牙科療程有興趣?
[블로그] 韓國漂牙/牙齒美白方法大解析
[블로그] 韓國洗牙療程介紹/價錢/推薦診所
[블로그] 韓國最受歡迎牙科療程/推薦診所
韓國瓷牙貼片介紹/明星範例
瓷牙貼片原理

瓷牙貼片呢個概念可能大家比較陌生,大家可以想像成貼假指甲咁!最基本嘅瓷牙貼片安裝程序係會先輕微修整同打磨牙齒表面,然後用黏合劑貼上一片超薄陶瓷片。而呢啲陶瓷片就好似原本牙齒嘅琺瑯質咁,自然又有透明度。

而家韓國仲有一種技術叫做「零磨牙陶瓷牙齒貼片」。傳統瓷牙貼片比較厚,同時需要削除部分牙齒先可以安裝到,如果做得唔夠自然,可能會睇落好似戴咗假牙咁。所以最近韓國就新興做「零磨牙陶瓷牙齒貼片」,務求唔需要削走太多牙齒表面,同時貼片更加薄,效果更自然。
💡瓷牙貼片同全牙冠有咩唔同?

瓷牙貼片 | 全牙冠 | |
| 療程範圍 | 前排牙齒 | 所有牙齒(包括大臼齒) |
| 療程方式 | 將陶瓷薄片 貼於牙齒表面 | 完全覆蓋牙齒 |
| 材料性質 | 陶瓷、樹脂、 硅、聚合物等 | 陶瓷、金屬、樹脂 |
| 牙齒損耗 | 較少 | 較多 |
| 價錢成本 | 較便宜 | 較昂貴 |
| 療程效果 | 美觀 | 恢復牙齒形狀及功能 |
| 推薦人士 | 牙齒輕微變色、形狀唔美觀、有細小缺口或者輕微排列問題 | 牙齒嚴重損壞、蛀牙、裂痕、做過根管治療、需要加強牙齒強度 |
韓國瓷牙貼片療程程序
韓國瓷牙貼片療程通常分成3個步驟:
1. 諮詢、設計貼片形狀及修整牙齒

首先會先同牙醫詳細諮詢同商討你想整咩形狀同顏色嘅瓷牙貼片,再根據你嘅臉型同嘴型設計。決定好之後就會幫你修整牙齒,傳統瓷牙貼片可能需要磨0.5-1mm,而「零磨牙陶瓷牙齒貼片」最多都只係會磨走0.1~0.2mm,為貼片預留空間。
呢個過程基本上唔會痛,修整完之後就會幫你印牙模或者用掃描器量度牙齒形狀。
2. 製作瓷牙貼片

專業技工就會根據頭先所整嘅牙模製作專屬於你嘅瓷牙貼片,通常需時1-2日,期間會幫你裝上臨時牙套,唔會影響到你嘅日常生活。
不過對一寸光陰一寸金嘅遊客嚟講,時間真係好寶貴,接住落嚟推薦嘅韓國牙科診所因為都有自家工廠,所以都可以加錢進行即日諮詢、製作同黏貼等所有過程嘅服務!
3. 黏貼瓷牙貼片

最後牙醫會用專用黏合劑將超薄瓷牙貼片貼上牙齒,貼好之後會再檢查形狀同咬合,再修整一下就完成!
韓國瓷牙貼片牙科診所推薦
BLANCHE牙科(블랑쉬치과)
- 地址:서울 서초구 강남대로 531 7F


江南「BLANCHE牙科」由首爾大學畢業嘅專科醫生親自主理,代表院長更加喺2025年同時榮獲瓷牙貼片同植牙領域大獎,專業實力備受肯定!呢度嘅BLANCHE零磨牙陶瓷貼片運用0.01mm超薄貼片技術製作而成,可以喺減少修磨牙齒嘅同時令效果更自然,而且唔需要麻醉或者安裝臨時牙齒,一日內就可以完成完整療程!
更多牙齒療程價錢&預約資訊👇🏻
[스팟] BLANCHE牙科(江南)
MINISH牙科(미니쉬치과병원)
- 地址:서울 강남구 언주로 728
✨Creatrip獨家優惠✨ 30萬韓幣回贈+送17萬Creatrip積分! |

江南「MINISH牙科」醫療團隊由超過130位專業人士組成,至今累積超過16萬人進行療程,好多韓星都係呢度嘅客人。
攞埋專利嘅「MINISH瓷牙貼片技術」可以保留自然牙齒,再用埋CAD/CAM儀器3D數碼口腔掃描技術,諮詢時可以更精準咁確認牙齒狀態。另外好似頭先所講,貼片製作工廠設於「MINISH牙科」診所入面,唔需要外判,當日就可以完成。
MINISH瓷牙貼片技術



牙齒損耗:MINISH (0.1~0.2mm) < 陶瓷貼片 (0.5~0.7mm) < 人造牙冠(1.5~2mm)
MINISH技術 | 傳統陶瓷貼片 | |
| 療程範圍 | 所有牙齒(包括大臼齒) | 前排牙齒 |
| 貼片材料 | 德國VITA獨家生產陶瓷塊 | 二氧化鋯(Zirconia)、二矽酸鋰(e.max)等 |
| 材料性質 | 貼近自然牙齒 | 普通陶瓷 |
| 堅硬程度 | 與自然牙齒相似 與其他牙齒碰撞時影響較少 | 貼片較硬 與其他牙齒碰撞時可能造成損毀 |
| 製作時間 | 1日 | 1-3日 |
| 牙齒損耗 | 0.1~0.2mm | 0.5~0.7mm |
| 保固期限 | 最長10年以上 | 通常最長2-3年 |

因為MINISH瓷牙貼片得0.1mm,所以貼上牙之後完全唔會影響到進食同日常生活,而且連大臼齒都可以做,令成個笑容更自然協調。
咬合方面都唔會有問題,自然牙齒亦都基本上唔會有磨損,最長更加有十年保養,安心又有保障。

大家可以比較BEFORE同AFTER,效果自然得嚟可以解決牙齒形狀不一、歪斜同牙黃問題,唔講其實未必會察覺到做咗瓷牙貼片。
MINISH牙科價錢
PREMIUM 保固10年 16年經驗代表院長親自進行 | ₩3,500,000/隻 (3500000/隻) |
PERFECT 保固7年 | ₩1,700,000/隻 (1700000/隻) |
BASIC 保固5年 | ₩1,400,000/隻 (1400000/隻) |
SIMPLE 保固3年 | ₩1,100,000/隻 (1100000/隻) |
坦白講MINISH瓷牙貼片其實價錢真係唔平,但係同香港瓷牙貼片技術比較,MINISH嘅特點係可以保留大部分自然牙齒!如果對牙齒形狀不滿意,或者想笑得更自信,建議可以做SIMPLE或者BASIC系列,最平嘅保固期都有3年,正常進食都唔會造成損耗。
光顧韓星



一行入MINISH牙科,就會見到有一面牆貼滿喺度做過牙齒療程嘅韓國明星相。BLACKPINK、NewJeans、LE SSERAFIM、SEVENTEEN、IU、南柱赫、權志龍、柳俊烈、朴炯植等韓星都有喺江南「MINISH牙科」做過瓷牙貼片等牙齒美容療程,每位笑容都非常燦爛!
更多牙齒療程價錢&預約資訊👇🏻
[스팟] MINISH牙科(江南)
TU牙科(티유치과)
- 地址:서울 서초구 서초대로77길 54 12F
✨Creatrip獨家優惠✨ 預約TU牙科之香港客戶,均可享用箍牙優惠價, 而且唔會加收任何額外費用 |

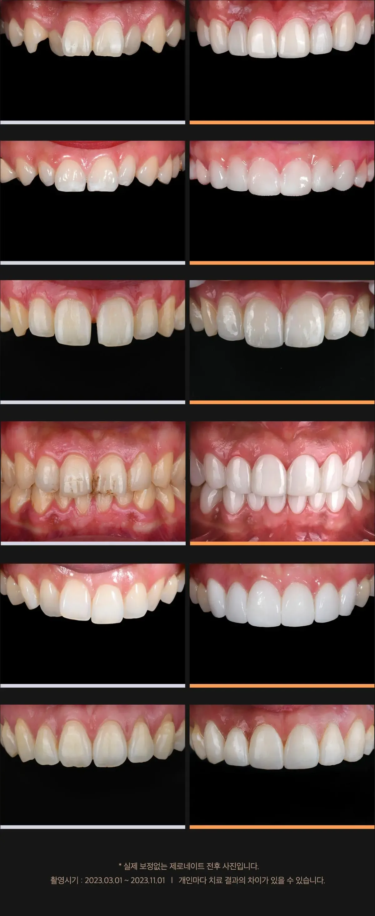
江南「TU牙科」係韓國第一間得到由全球34個國家、130位牙齒美容專家組成嘅Oral Design官方認證嘅牙科診所,提供最先進精準嘅牙科美容服務。開業至今已經進行超過63,000次ZERONATE手術,以特殊方式製作陶瓷貼片,唔需要削除牙齒,達到最自然效果!而且對遊客嚟講最重要嘅翻譯服務都有提供,唔識講韓文都唔需要擔心。
ZERONATE瓷牙貼片技術

ZERONATE | 普通陶瓷貼片 | |
牙齒損耗 | 0.3~0.4mm 運用3D數碼掃描將損耗減至最低 | 0.5~0.7mm |
美觀程度 | 貼片薄至0.01mm 效果自然 | 0.3~0.5mm 較明顯 |
製作方式 | 使用Platinum Foli Technique,100%純手工製作 | 聘請加工公司製作 |
適用情況 | 改變牙齒顏色、形狀、大小 | 改變牙齒顏色、填補牙齒間空隙、輕微改善牙齒不齊問題 |
ZERONATE瓷牙貼片薄度只有0.01mm,可以同牙齒完美貼合,幾乎冇感覺但就可以打造潔白整齊嘅牙齒。用HASS、Straumann等頂級品牌嘅陶瓷材料,由自家牙科技師Marth Lab百分百手工製作,牙齒幾乎唔洗磨,就算有磨都唔會傷到神經同牙齒本身,啱晒想最大程度保留真牙嘅客人。

當然有人可能會問0.01mm咁薄會唔會易爛?其實完全唔洗擔心!透過TU牙科獨家技術,ZERONATE瓷牙貼片同牙齒琺瑯質會產生化學結合,唔容易斷或者甩,耐用度好高,手術前後基本上都唔會痛!
ZERONATE瓷牙貼片價錢
ZERONATE | |
ZERONATE BASIC 基本療程 保固期1年 | ₩890,000/隻 (890000/隻) |
ZERONATE WHITE 高級療程 保固期5年 | ₩1,290,000/隻 (1290000/隻) |
ZERONATE BLACK 由所長親自製作貼片 保固期10年 | ₩1,690,000/隻 (1690000/隻) |
MARTH美齒貼片 (代表院長親自進行手術) | |
Marth Film 基本療程 保固期15年 | USD$2,000/隻 |
Marth Film White 最亮白貼片 保固期20年 | USD$3,500/隻 |
Marth Film Black 由所長及製作所長保證之高級客製化服務 保固期30年 | USD$5,000/隻 |
※如希望於當日進行手術,將加收20%費用
✨香港顧客專用優惠✨ 箍牙/牙齒矯正 | |
Clippy-C自鎖式牙箍 無需使用傳統牙套常用之橡皮圈或鋼線, 美觀度高之餘較少出現刮傷或食物殘渣殘留, 就診時痛楚較輕微 | ₩6,000,000 (6000000) |
Invisalign隱適美透明牙套 量身訂製透明牙套,可自由戴除, 方便用餐及刷牙,不影響日常生活 | ₩9,000,000 (9000000) |
※上述費用為香港顧客專用,包括拔除牙齒、牙套/牙箍等所有選項,無任何額外費用

同頭先介紹嘅MINISH相似,ZERONATE瓷牙貼片價錢真係唔算平,但係前後對比夠明顯,而且可以幾乎完全保留自然牙齒,非常吸引!
光顧韓星


魏嘏雋、陸星材、燦盛、黃旼炫、鄭多彬、旗安84、Rain、崔宇植、邕聖祐、DEX、藝聲等韓國歌手同明星,甚至係韓國當紅嘅YouTuber都係喺都在TU牙科做瓷牙貼片同美白療程。
更多牙齒療程價錢&預約資訊👇🏻
[스팟] TU牙科(江南)
韓國瓷牙貼片常見問題&迷思
Q1. 咩人啱做瓷牙貼片?
A:推薦牙齒顏色偏黃或者有永久性牙齒變色問題、門牙之間有罅隙,或者牙齒邊緣崩咗/形狀唔整齊、唔想箍牙但想短時間內令牙齒變得整齊同潔白嘅朋友們去做!
Q2. 傳統瓷牙貼片、ZERONATE同MINISH有咩分別?
A:全部都係喺牙齒表面貼一塊薄陶瓷片,但傳統瓷牙貼片相對上比較厚,而且需要磨走嘅牙齒會比較多。而ZERONATE同MINISH屬於「零磨牙陶瓷牙齒貼片」,幾乎唔需要削走牙齒,分別在於「牙齒修削量」同「貼片材料」。
Q3. 做瓷牙貼片係唔係要磨走好多本身嘅牙?
A:承上,傳統瓷牙貼片會磨多啲牙,但而家好多牙科都主打零磨牙/將磨牙步驟減到最少。ZERONATE同MINISH就算要磨牙,基本上只會磨0.1~0.2mm,幫你最大程度保留真牙。BTW磨太多牙會令牙齒變得敏感脆弱,甚至有神經損傷風險,所以如非必要,建議儘量揀零磨牙療程。
Q4. 做完會唔會牙齒敏感?
A:有機會短暫敏感,因為磨牙後牙齒內部會暴露,不過通常幾日後症狀就會舒緩,如果冇好轉就記住一定要去搵牙醫協助啦。
Q5. 瓷牙貼片通常可以用幾耐?
A:視乎你進食同保養方式,通常可以用到7~10年,冇爛冇崩或者冇變色就可以用更耐!建議去提供保固服務嘅牙科診所做瓷牙貼片,有咩問題都可以返診所解決。
Q6. 如果瓷牙貼片爛咗或甩咗點算?
A:記住即刻去牙科診所重貼或換新貼片,唔好自己格硬拆。
Q7. 可唔可以用瓷牙貼片代替箍牙?
A:如果牙齒少少唔齊或局部需要改善,可以用瓷牙貼片代替,不過如果牙齒太亂或有咬合等問題,建議照常箍牙。
Q8. 做完瓷牙貼片有咩要注意?
A:避免食太硬或太韌嘅嘢,唔好咬手指、筆等,更加要保持正確刷牙習慣,定期檢查。
Q9. 做完牙齒會唔會變色?
A:陶瓷材料基本唔會因咖啡、紅酒、咖喱等變色,但黏合劑位置有機會變色,要定期進行護理。
Q10. 之後想拆走瓷牙貼片得唔得?
A:可以,但如果之前磨咗好多牙,可能要再貼返或做其他牙齒修復治療。
韓國人氣瓷牙貼片牙科診所🦷
[스팟] BLANCHE牙科(江南)
[스팟] MINISH牙科(江南)
[스팟] TU牙科(江南)
如果你對文章內容有咩意見或者想查詢更多資訊,可以隨時喺留言區留言,或者透過電郵(help@creatrip.com)聯絡客戶服務中心。想知更多韓國最新資訊,記住follow埋我哋嘅Instagram同Threads啦!
如果你對文章內容有咩意見或者想查詢更多資訊,可以隨時喺留言區留言,亦可以透過WhatsApp(+82 10-8818-2915、英文服務)或LINE(@creatrip;中/日文服務)聯絡Creatrip 24小時客戶服務中心,亦歡迎透過電郵(help@creatrip.com)來信諮詢。想知更多韓國最新資訊,記住follow埋我哋嘅Instagram同Threads啦!




