Spesialis dari Universitas Nasional Seoul - Klinik Gigi Blanche

Tentang
Mengapa Kami Merekomendasikannya
Keuntungan Eksklusif Creatrip
- Pesan melalui Creatrip untuk mendapatkan pemutihan gigi gratis.
- Anda juga dapat memilih paket eksklusif pemutihan + pembersihan karang untuk nilai yang lebih baik.
Staf Medis Berpengalaman & Sistem Internal
- Spesialis yang lulus dari Seoul National University secara pribadi memberikan perawatan, menawarkan perawatan yang dapat dipercaya berdasarkan pengalaman klinis yang luas dan prestasi penelitian.
- Direktur utama diakui atas keahlian luar biasa baik dalam laminat maupun implan, memenangkan penghargaan di kedua bidang pada tahun 2025.
- Setiap langkah (mulai dari diagnosis hingga prosedur) ditangani oleh tim yang ditetapkan dengan jelas dalam kerangka kerja yang sistematis.
1:1 Perawatan yang Dipersonalisasi
- Senyuman Anda dirancang berdasarkan fitur wajah unik dan struktur gigi Anda untuk hasil yang alami dan seimbang.
- Anda dapat mendapatkan semua yang Anda butuhkan di satu tempat mulai dari laminasi hingga pemutihan gigi dan pembersihan karang.
- Solusi personal 1:1 yang disesuaikan dengan kebutuhan individu setiap pasien.
Ramah bagi Orang Asing
- Pengalaman luas dalam merawat pasien internasional.
- Konsultasi tersedia dalam bahasa Inggris, Mandarin, Jepang, dan Thai.
- Panduan dalam setiap bahasa, mulai dari konsultasi dan prosedur hingga tindakan paska-prosedur.
- Bahkan orang asing yang mengunjungi klinik gigi Korea untuk pertama kali dapat memahami proses perawatan tanpa hambatan bahasa dan menerima perawatan dalam lingkungan yang nyaman dan menenangkan.
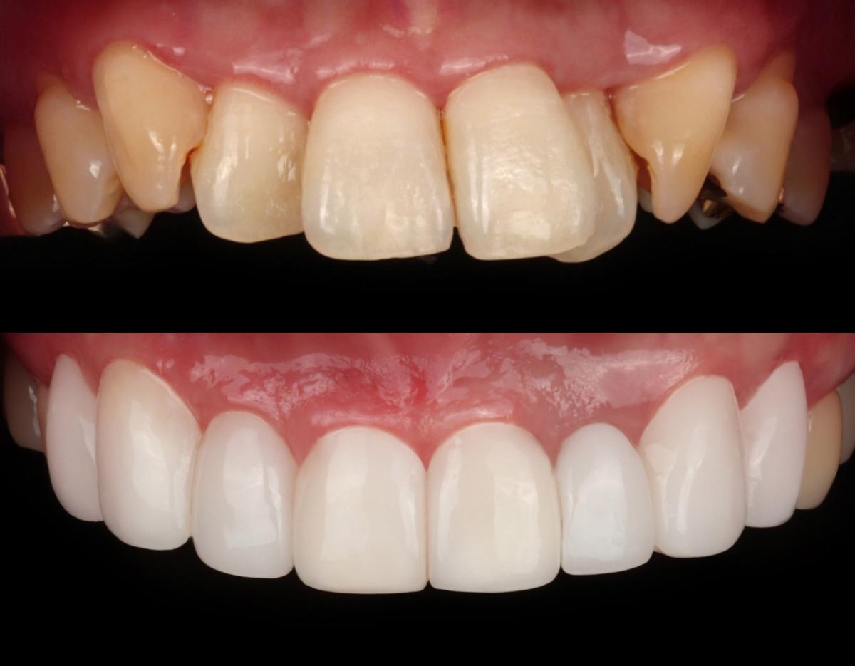
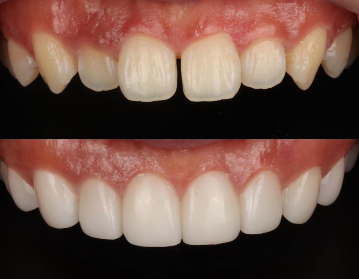
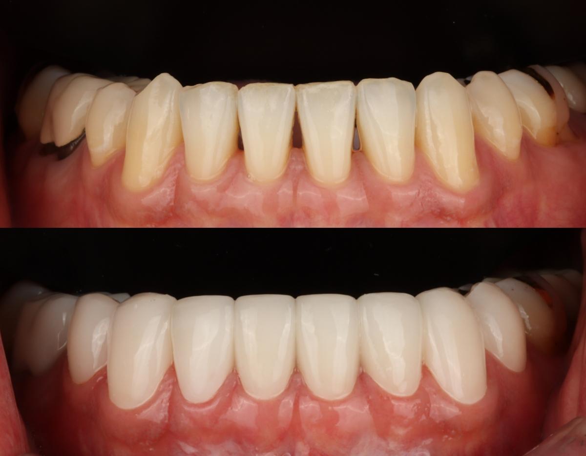
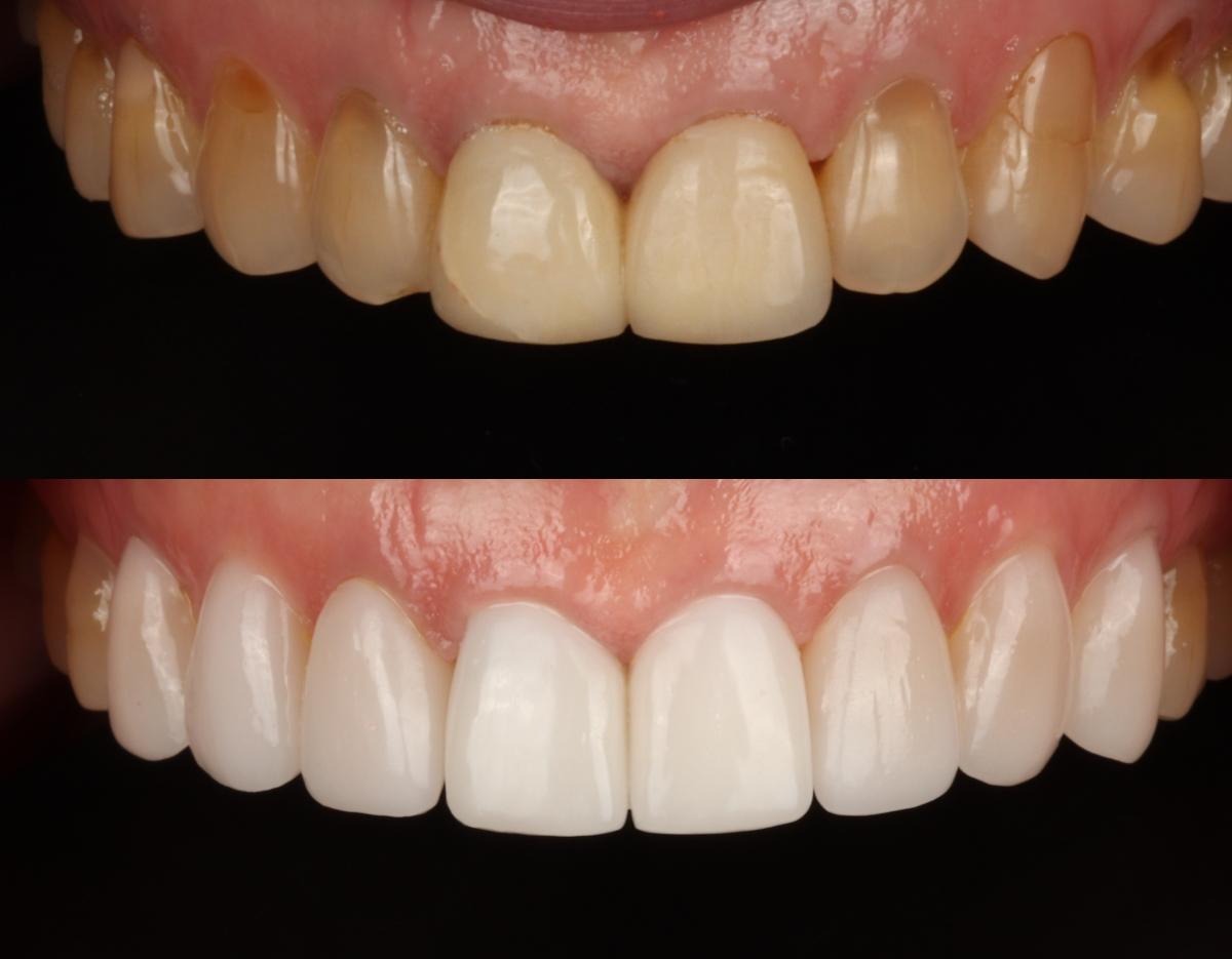
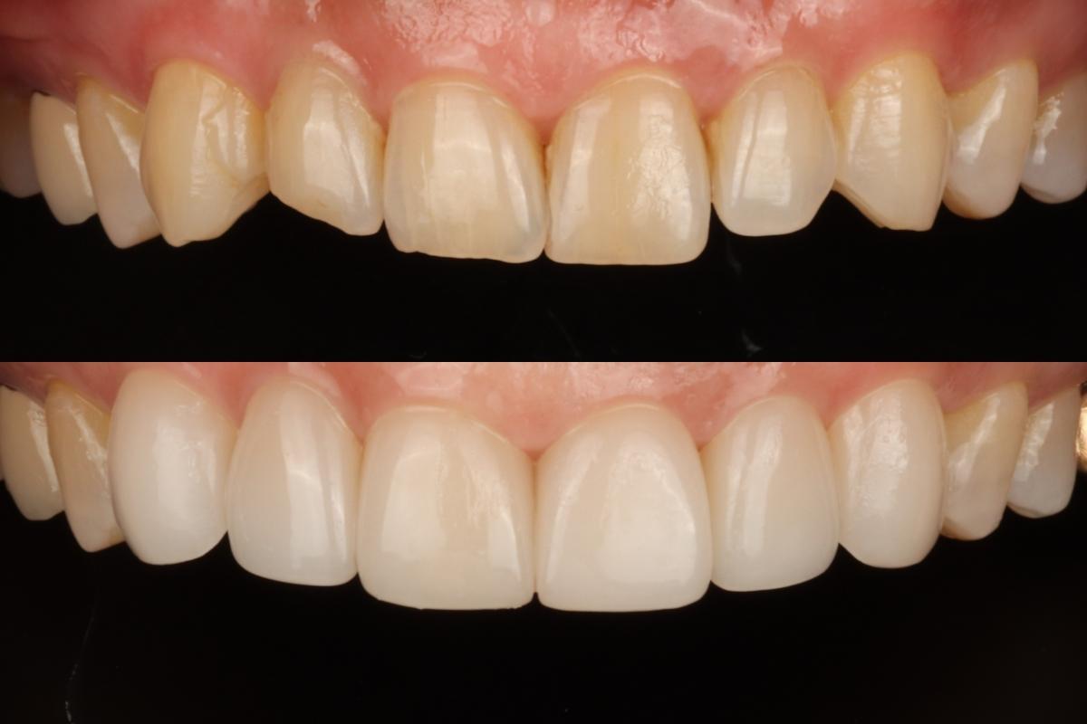
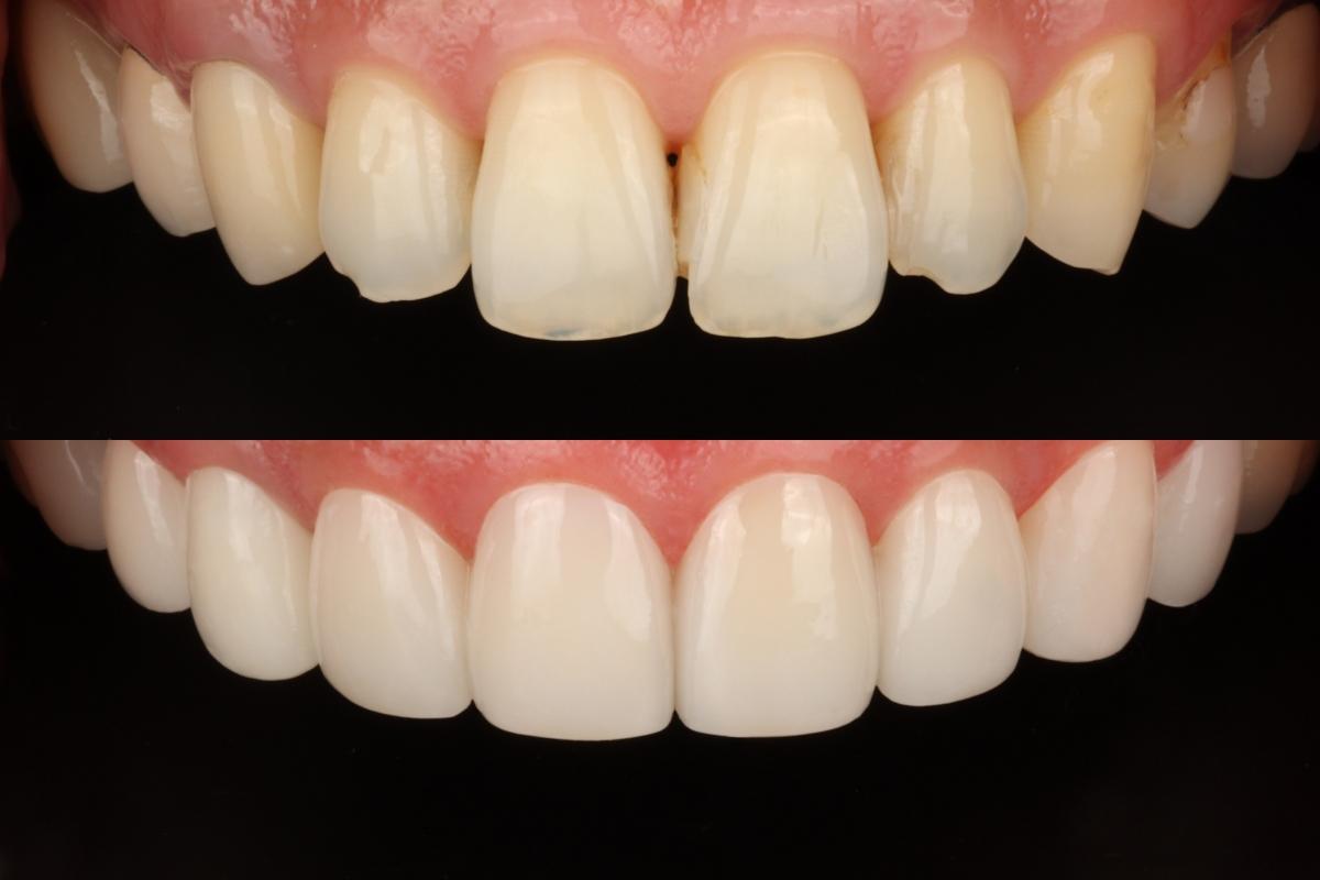
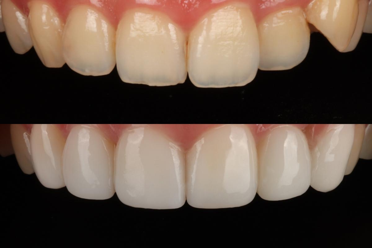
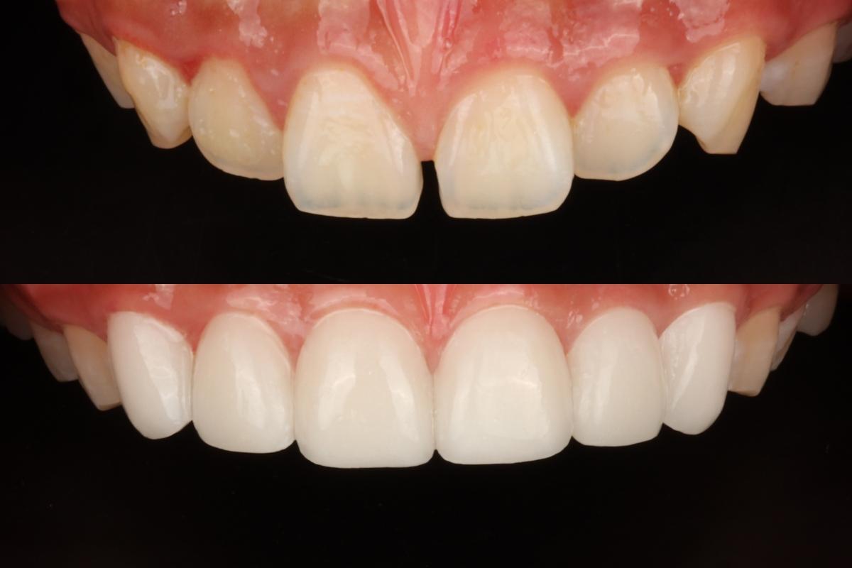
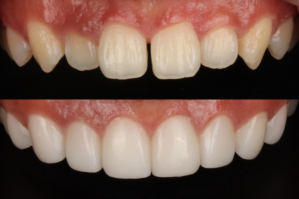
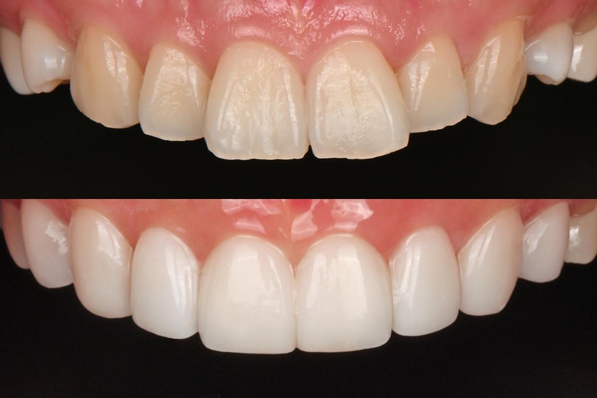
Laminate Ultra-Tipis 0,01 mm dengan Teknologi Presisi Lanjutan
- Menggunakan teknologi presisi canggih, kami membuat laminasi ultra-tipis setipis 0,01 mm, memungkinkan hasil yang tampak alami dengan pengurangan gigi seminimal mungkin.
- Sebuah laboratorium gigi internal, dipimpin oleh seorang profesor universitas dengan pengalaman lebih dari 20 tahun, secara langsung menangani pembuatan prostesis dan kontrol kualitas untuk memastikan hasil yang konsisten dan berkualitas tinggi.
Direktur Utama Kim Tae-hyung

Mantan Direktur Utama Seoul Haru Dental Clinic
Penasihat Medis Gigi untuk SBS Dr. Oh’s Clinic
Penasihat Gigi untuk Doctor Friends
Penasihat Klinis untuk Straumann Implants
Penulis makalah penelitian tentang efektivitas pemutihan gigi profesional
Direktur Pusat Operasi Implan Tidur Tanpa Sayatan
Terpilih sebagai salah satu 100 Dokter Terbaik Korea di kategori Implan
Memegang jumlah kasus klinis Straumann BLX terbanyak
Penasihat Klinik untuk Osstem Implants
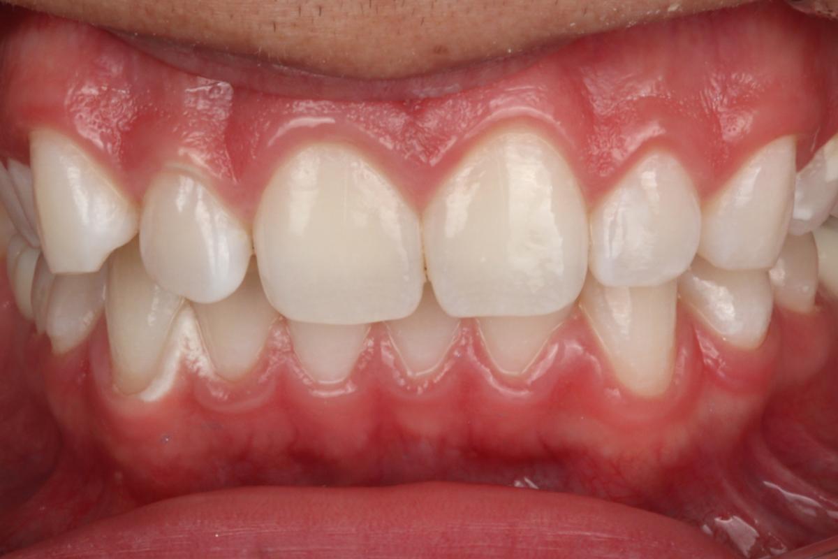
Blanche Laminasi Tanpa Persiapan
Rincian | Blanche Laminate adalah prosedur estetika yang disesuaikan yang menempelkan veneer keramik ultra-tipis, setipis 0,01mm, pada permukaan depan gigi untuk memperbaiki warna, bentuk, dan penyusunan gigi, menciptakan senyum yang harmonis. |
Durasi | Kunjungi dua kali dalam 10 hari/ / Satu hari (selesai pada hari yang sama) |
Efek | Semi-permanen |
Direkomendasikan Untuk | Mereka yang memiliki gigi gelap atau berubah warna Mereka yang memiliki bentuk gigi tidak merata atau celah pada gigi depan Bagi mereka yang senyumnya asimetris karena ukuran atau bentuk gigi yang tidak proporsional Bagi mereka yang membutuhkan perbaikan struktural karena gigi yang hilang atau kerusakan sebagian Bagi mereka yang mencari perbaikan estetika alami dan daya tahan jangka panjang |
Perhatian | Berhati-hatilah terhadap kerusakan saat mengonsumsi makanan yang cukup keras untuk memecahkan gigi alami. Pemeriksaan rutin dan perawatan kebersihan mulut sangat penting |
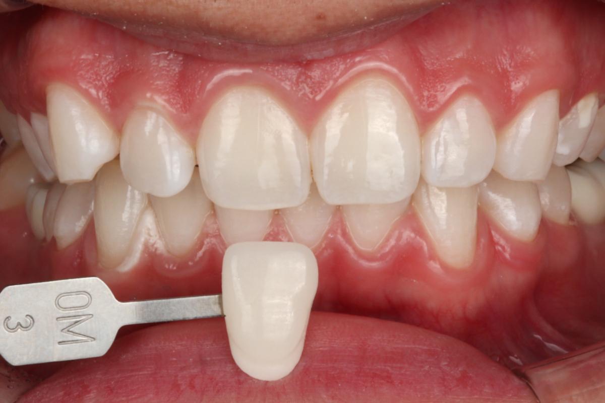
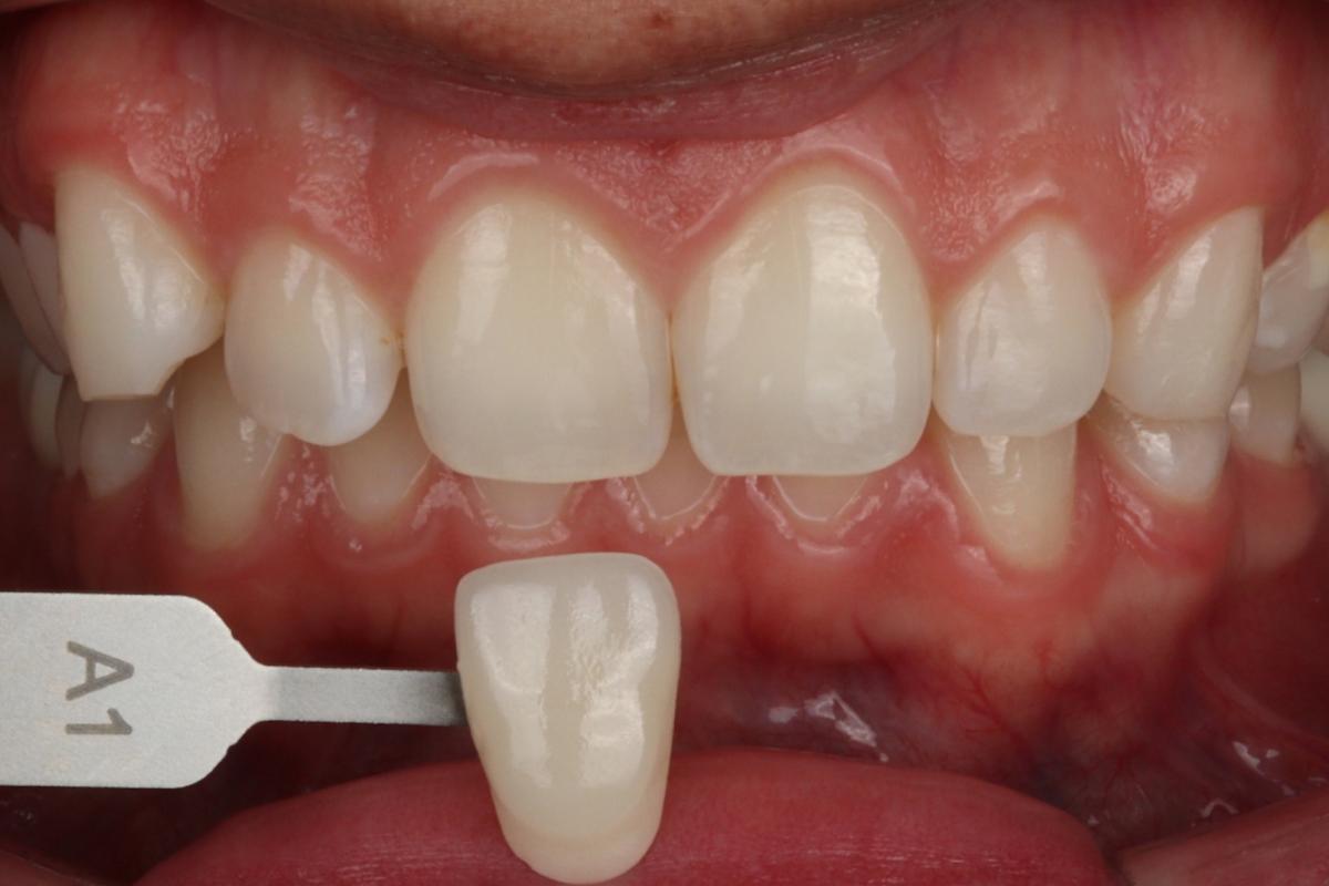
Pemutihan Gigi
Rincian | Sebuah prosedur yang dengan aman menggunakan agen pemutih berkonsentrasi tinggi di klinik gigi untuk mencerahkan dan memperbaiki warna gigi Anda dalam waktu singkat. |
Metode | Pemutihan Laser |
Durasi | 20 menit per sesi |
Langkah Prosedur | Setelah pemeriksaan dan konsultasi oleh direktur mengenai proses perawatan dan biaya, petugas kebersihan gigi akan melanjutkan dengan perawatan. |
Efek | 6 bulan |
Direkomendasikan Untuk | Bagi mereka yang puas dengan bentuk gigi alami mereka tetapi ingin mencerahkan hanya warnanya Bagi mereka yang menginginkan perbaikan estetika yang paling tidak invasif sambil mempertahankan struktur alami gigi mereka |
Perhatian | Hindari mengonsumsi makanan dan minuman yang mudah menodai (seperti kopi, teh, anggur, kari, dll.) setidaknya selama 24–48 jam setelah prosedur. Pemeriksaan rutin dan manajemen kebersihan mulut sangat penting |
Skala
Rincian | Prosedur yang menghilangkan karang gigi dan plak yang menumpuk di antara gigi dan gusi untuk meningkatkan kesehatan gusi dan kebersihan mulut. |
Durasi | 15 menit |
Efek | Bervariasi tergantung pada perawatan |
Direkomendasikan Untuk | Mereka yang mengalami peradangan gusi akibat penumpukan plak Mereka yang mengalami gejala awal penyakit gusi, seperti perdarahan gusi, pembengkakan, atau bau mulut |
Perhatian | Anda mungkin mengalami sensitivitas sementara atau pendarahan ringan. Sikat gigi dengan lembut pada hari prosedur—hindari menyikat dengan keras. Jika penyakit gusi parah, perawatan tambahan mungkin diperlukan. |
Info Toko
Stasiun Kereta Bawah Tanah Terdekat
Produk yang dilihat pelanggan lain






