Teeth Whitening in Korea: Costs, Methods, and What to Expect
From blue light whitening to porcelain veneers, here’s how Korean dental treatments compare to the US in price, speed, and results!
- Ultimate Guide to Korean Teeth Whitening
- Why Are Korean Teeth Whitening Treatments So Popular?
- Common Korean Teeth Whitening Treatments8
- FAQ
Ultimate Guide to Korean Teeth Whitening

Source: 헬스조선
What Causes Yellow Teeth?
Before diving into teeth whitening, it’s helpful to understand what can cause your teeth to turn yellow. If any of the points below sound familiar, keep reading to learn effective ways to prevent and improve tooth discoloration!
1. Eating Habits
Regularly drinking dark-colored beverages like coffee, tea, or red wine, or eating strongly colored foods like curry, berries, or tomato sauce, can stain your teeth over time. These pigments stick to the surface and gradually build up, causing yellowing. Even with daily brushing, they can seep into tiny cracks in your enamel, leaving your teeth looking dull and discolored.
An average Korean drinks at least 2 cups of coffee everyday!
Want to learn their secrets to keep their teeth clean?
[Blog] Korean Oral/Teeth Care Secrets
2. Genetics
The thickness, color, and texture of tooth enamel vary from person to person, and these traits are usually inherited. If your parents have naturally yellowish teeth or thinner enamel, you might experience the same. Some people also have naturally darker dentin, which makes their teeth appear less white.
3. Smoking
Nicotine and tar in tobacco cling to your teeth, creating yellow-brown stains. Long-term smoking not only discolors teeth but also increases the risk of gum disease, bad breath, and even oral cancer, affecting overall oral health.
4. Poor Oral Hygiene
Neglecting regular brushing or flossing allows plaque and tartar to build up on your teeth. Bacteria in plaque produce compounds that can yellow your teeth and may also lead to cavities and gum disease. Maintaining good oral care like brushing twice a day, flossing, and getting regular dental cleanings can help prevent yellowing.
5. Medication Effects
Certain medications can impact tooth color. For example, tetracycline antibiotics taken during childhood can leave pigments in the dentin, causing permanent yellowing or graying. In these cases, regular whitening treatments may not be effective, and options like porcelain veneers are often recommended.
How to book Korean beauty & medical treatments online safely?
Why Are Korean Teeth Whitening Treatments So Popular?
1. Internationally Recognized Technology

While dentists in many countries often focus primarily on treating dental problems, Korean dentists receive extensive training in professional cosmetic dental procedures. With a strong cultural emphasis on aesthetics and appearance, Korea has developed advanced cosmetic dental care faster than many other countries.
Korea is also home to some of the world’s most advanced dental technology research centers, and dentists here have extensive clinical experience and highly developed skills. Beyond traditional whitening methods, Korea offers unique treatments like ZERONATE and MINISH whitening, designed to be effective without damaging your teeth.
2. High-Quality Service at Affordable Prices

Korea’s teeth whitening technology and equipment are internationally recognized, yet the cost is surprisingly affordable. A single session usually costs around ₩300,000 (300000), which is significantly less than in the US or Europe, where similar treatments often cost several hundred dollars per session.
Even for travelers, including airfare, getting teeth whitening in Korea can be a cost-effective and convenient option, making it a great choice for those looking to combine treatment with a trip.
3. Teeth Whitening is a Trend

Many Korean celebrities are known for their bright, flawless smiles, and the combination of white teeth with bold lips has become a global beauty standard. Several actors and K-pop stars have openly shared their experiences with teeth whitening, which has helped make the procedure even more popular.
Now, anyone can access the same techniques and receive treatment from the professional dental teams behind these celebrity smiles, making it possible to achieve a star-worthy smile for themselves.
4. Easy for Tourists to Try

Dental care is always considered a medical service, so some travelers worry about language barriers or being treated differently as foreigners. In reality, most large dental clinics in Korea are very welcoming to international patients. Many offer English support, and some can even arrange follow-up treatments or check-ups to fit your schedule and itinerary.
On top of that, teeth whitening sessions are usually quick, so you can get treatment without disrupting your travel plans.
Common Korean Teeth Whitening Treatments
1. Teeth Cleaning

The main purpose of a dental cleaning is to remove tartar, plaque, and surface stains like those from coffee or tea. If your teeth look yellow mainly due to these surface stains, regular professional cleanings can make a noticeable difference!
Recommended Clinics
[Spot] Yonsei Uline Dental (Gangnam Station Branch)
[Spot] Yonsei GOOD DAY Dental Clinic (Gangnam Branch)
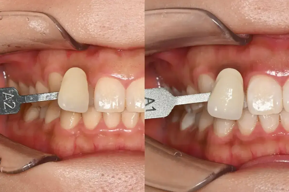
2. Blue Light / Laser Teeth Whitening

Blue light teeth whitening (also called cold light or LED whitening) is the most popular whitening procedure in Korea. The process starts with applying a whitening gel, usually containing hydrogen peroxide, to the surface of your teeth. Then, a blue light is used to activate the gel.
This activation helps release oxygen molecules that penetrate the enamel, break down pigment deposits, and make your teeth noticeably whiter.

Using blue light for teeth whitening generates less heat, which means reduced tooth sensitivity and a safer treatment overall. Another benefit is that you can see noticeable results in a short amount of time. Many clinics in Korea now use a combination of different light wavelengths to speed up whitening while minimizing side effects.
Korean dentists have extensive experience with teeth whitening and access to high-quality equipment and products. On top of that, the cost is surprisingly affordable, often just a fraction of what similar treatments cost in the US or Europe.
Recommended Clinics
[Spot] Seoul CENTUM Dental Hospital (Sinsa)
[Spot] Yonsei Uline Dental Clinic (Gangnam Station Branch)
[Spot] LE Dental (Gangnam)
[Spot] Yonsei GOOD DAY Dental Clinic (Gangnam Branch)
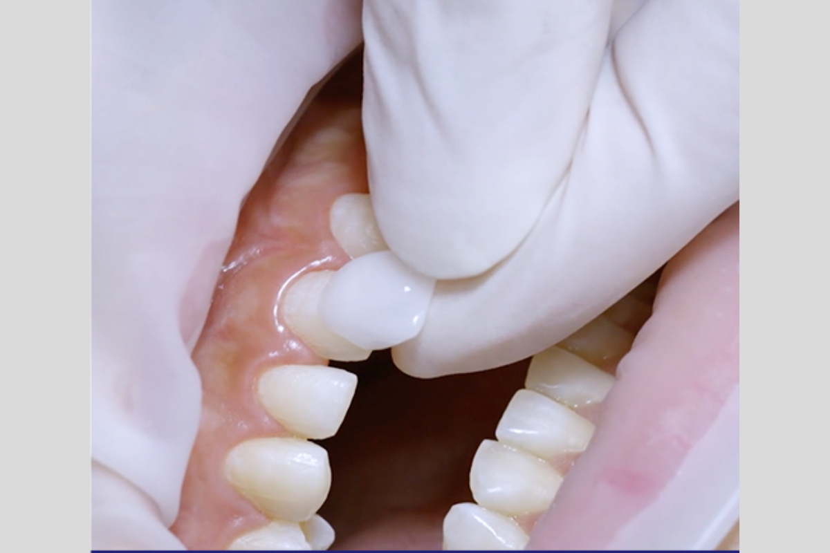
3. Veneers

As the name suggests, this type of teeth whitening uses a thin veneer that is attached to the surface of your teeth. Veneers not only improve the color of your teeth but can also adjust their shape, length, or size. The results are longer-lasting than regular whitening treatments.
If you have permanent discoloration such as from tetracycline or want to correct the shape or size of your teeth while whitening, veneers are often the better option.

There are several types of materials used for dental veneers, with ceramic veneers being the most common. In Korea, these are often called “Laminate” (라미네이트) and are made from a harder ceramic material.
Ceramic veneers not only look more like natural teeth, but they’re also more durable and less likely to discolor compared to resin, silicone, or polymer veneers.
4. Zero-Prep Ceramic Veneers

Traditional ceramic veneers are relatively thick and usually require some of the tooth surface to be shaved down before placement. If not crafted carefully, they can sometimes look unnatural, almost like dentures.
Recently in Korea, “zero-prep” ceramic veneers have become popular. These veneers are thinner and require minimal removal of the tooth surface, resulting in a more natural look. Among the most popular options are TU Dental’s ZERONATE Invisible Ceramic Veneers and MINISH Dental’s MINISH Ceramic Veneer Technology.
About ZERONATE Invisible Ceramic Veneers

ZERONATE is an innovative dental cosmetic procedure that solves the drawbacks of traditional dental crowns and regular ceramic veneers, allowing you to change the shape and color of your teeth with almost no need to trim or affect your natural teeth, resulting in a very natural look!
✅ Minimal or No Tooth Grinding
Grinding teeth can damage your natural teeth, and if a crown or traditional veneer comes off, it may look unnatural. If you’ve avoided ceramic veneers because of this, zero-prep options like ZERONATE are worth considering!
✅ Durable and Natural-Looking
ZERONATE veneers use advanced chemical bonding with enamel, providing stronger adhesion than regular ceramic veneers. Made with Swiss ceramic technology and high-quality materials like HASS and STRAUMANN, these veneers can be as thin as 0.01 mm. They’re also fully customizable, letting you choose the size and shade to match your desired look.
✅ Quick Procedure
You can have a consultation, get your veneers made, and complete the procedure all in a single day—perfect for tourists or short-term visitors. TU Dental, for example, sees many international clients from countries like Japan and Mongolia.
See more information below!
[Spot] TU Dental (Gangnam)
About MINISH Porcelain Veneers

✅ Minimal Tooth Wear
MINISH is another type of no-grind ceramic veneer. Compared to traditional ceramic veneers, very little of your natural tooth needs to be removed—usually just 0.1–0.2 mm.
✅ Premium Materials for Strength and Durability
MINISH Dental partners with VITA Zahnfabrik, the world’s largest dental equipment manufacturer, using Germany’s exclusive VITA ceramic blocks. These materials have a hardness similar to natural teeth, reducing impact when veneers come into contact with other teeth and making daily life more comfortable.
✅ Quick Production & Procedure
The veneer lab is located within the clinic, which shortens production time. With a morning appointment, you can complete both the examination and the veneer procedure in a single day—perfect for tourists or short-term visitors.
See more information below!
[Spot] MINISH Dental Clinic (Gangnam)
FAQ
Q1. Are teeth whitening treatments effective for everyone?
A: Teeth whitening works well for most cases of surface staining or discoloration. However, if your natural tooth color is very dark or you have severe staining from antibiotics like tetracycline, the results may be limited.
Q2. Can people with cavities or gum disease get teeth whitening?
A: It’s best to treat cavities or gum disease first. Whitening during inflammation can worsen these conditions.
Q3. Can I whiten my teeth while pregnant or breastfeeding?
A: There’s no evidence that whitening harms a baby, but for safety, it’s generally not recommended during pregnancy or breastfeeding.
Q4. Will teeth whitening damage my teeth?
A: Professional whitening breaks down surface stains without damaging the tooth structure. Some temporary sensitivity may occur, but it usually goes away. If sensitivity persists, try toothpaste for sensitive teeth or consult your dentist for special treatments or fluoride applications.
Q5. Do I need a dental cleaning before whitening?
A: Yes. Cleaning removes plaque and tartar, allowing the whitening agent to work evenly and deliver better results.
Check out everything you need to know
about teeth whitening in Korea!
[Blog] Introduction to Teeth Cleaning Procedures/Prices/Recommended Clinics in Korea
Q6. What’s the difference between at-home whitening and professional clinic treatments?
A: Dental clinics use higher-concentration whitening agents and professional lighting, so results are faster and more noticeable. Treatments are supervised by professionals, making them safer. At-home products have lower concentrations and need to be used over time before you see results.
Q7. I often see appointments listed as “3 times.” Does that mean 3 separate visits?
A: Not usually. “3 times” typically refers to repeating the process of applying whitening gel and shining the light during a single session. After completing all three rounds, your teeth can become 2–3 shades whiter in one visit.
Q8. How long do whitening results last?
A: Results generally last 1–2 years, depending on your diet and lifestyle. Regular care and follow-up treatments can help maintain your brighter smile.
Q9. Are there foods I should avoid after whitening?
A: Teeth are more prone to staining in the first 48 hours after whitening. Avoid strongly pigmented foods and drinks such as coffee, cola, red wine, and curry, and try to refrain from smoking.
Q10. Can tourists get a tax refund for teeth whitening in Korea?
A: It depends on the clinic. Ask the dental staff before paying, and if eligible, make sure to show your passport to claim the refund.
That’s a complete guide to the most popular and advanced teeth whitening treatments in Korea! If you’ve been struggling with yellow teeth or just want to refresh your smile, consider booking a check-up with a Korean dentist. A professional whitening treatment could be the perfect way to boost your confidence on your next visit to Korea!
Check below to see more!
Book all things trending in Korea on Creatrip! If you have any questions or concerns, please leave a comment below or send us an email at help@creatrip.com! You can follow us on Instagram, TikTok, Threads, and Youtube to stay updated on all things Korea!
Book all things trending in Korea on Creatrip! If you have any questions or concerns, please leave a comment below or send us an email at help@creatrip.com! You can follow us on Instagram, TikTok, Threads, and Youtube to stay updated on all things Korea!




