韓國牙齒貼片「ZERONATE」介紹
牙齒矯正、美白牙齒、補牙一次搞定!韓國牙齒貼片新技術ZERONATE介紹/常見問答
- 韓國藝人的必做手術
- ZERONATE是什麼?
- ZERONATE的優點
- ZERONATE手術方式1
- 我適合做ZERONATE嗎?
- ZERONATE實際前後對比
- ZERONATE常見問答
哈囉,大家好,這裡是由韓國人每天提供最新韓國旅行資訊的Creatrip。
#韓國牙齒美白#貼片
#美白貼片#陶瓷貼片
韓國20代、30代女性流行自然美,比起動刀見血的手術,微整型正在佔有一席之地,不只有皮膚科的音波、麗珠蘭,牙齒美白、矯正也非常常見。
而如今,韓國最流行的陶瓷貼片新技術「ZERONATE」,到底和一般的施術有什麼差別?一起看看吧。
不用先跑一趟韓國
在台北就能聽說明
TU牙科於2025年6月28日、29日在台北W Hotel舉辦說明會,到場免費聽說明還有驚喜好禮可以拿,快把握機會報名!
[스팟] TU牙科《台北說明會》
✨點我追蹤我們的instagram
instagram.com/creatrip.tw
[블로그] 韓國「TU牙科」探訪/常見問答
[스팟] 江南TU牙科
韓國藝人的必做手術
EXID Hani、黃燦盛、Dex等韓國藝人與網紅都選擇進行ZERONATE,這是什麼呢?ZERONATE就是新技術的牙齒貼片,讓臉部中心的「牙齒」變得更加幹練、自然。
而在台灣發展的啦啦隊李多慧,日前也在TU牙科進行了ZERONATE,可說相當滿意。

來源:李多慧Youtube
TU牙科造訪藝人盤點
ZERONATE是什麼?
牙齒美容有多種方式,第一代「全瓷冠」雖然方便,但需要磨去大部分牙齒,容易導致日後原生牙萎縮或需植牙的惡性循環;第二代的「陶瓷貼片」雖較為自然,仍需刪除部分牙齒,且與真牙差異明顯、耐久性不足。
目前最新第三代技術ZERONATE,採用0.01mm超薄陶瓷,幾乎不需磨牙,更與原生牙齒幾乎無異,耐久性更強、附著力佳。
| 磨牙比較 | |
全瓷冠 | 需磨去60至70% |
陶瓷貼片 | 需磨去0.5至0.7mm |
ZERONATE | 根據狀況可不磨牙 或僅磨0.01至0.3mm |
相信最多人猶豫是否要做牙齒貼片,最在意的就是磨牙,ZERONATE根據個人狀況或要求不同,幾乎可以不用磨牙,就算磨了,磨去的比例也非常少,為的就是原生牙的健康。
| 材質比較 | |
全瓷冠 | 高耐久性 / 適中 |
陶瓷貼片 | 低耐久性 / 偏厚 |
ZERONATE | 易分散衝擊的材質 高耐久性 / 薄(0.01mm) |
材質上,ZERONATE作為牙齒美白的革新手術,厚度僅有0.01mm,且與原生牙毫無區別,而且是耐久性超好的高科技陶瓷貼片,具有能分散衝擊的結構,可以強烈承受外部壓力。

TU牙科憑藉高端醫療服務和創新治療技術,是韓國最受矚目的牙科,由徐載源代表院長帶領,更是全世界34個國家(約130名牙醫)組成的Oral Design集團的韓國1號正式認證牙科。
[블로그] 韓國「TU牙科」探訪/常見問答
ZERONATE的優點
☑️不磨牙、保留最多原生牙
根據牙齒情況,大幅減少磨牙量,甚至採用無切除方式,最大限度保留自然原生牙,不需擔心牙齒受損,是適合重視牙齒健康者的安心選擇。
☑️審美與自然感的最大值
使用瑞士高級層壓板技術,搭配HASS、STRAUMANN等高端製造商的陶瓷塊,能精細客製化牙齒色調與形態,與自然牙幾乎無異。就像臉部整形與皮膚手術一樣,牙齒也能依個人風格調整大小、顏色與亮度。
☑️手術時間非常短
透過數位化牙科系統與自營技工所,TU牙科可當日就完成手術,非常適合來韓旅遊的你。即使停留時間有限,也能在三日內完成療程,非常多日本、歐美人士專程來TU牙科進行ZERONATE手術。
ZERONATE手術方式
1. 預約商談
ZERONATE手術前須事前諮詢,確認牙齒狀況並說明預期效果,透過X光等檢查可獲得準確診斷,而全程都有翻譯陪同,溝通無障礙。
[스팟] 江南TU牙科
2. 進行手術
ZERONATE手術大致分為三步:評估牙齒並視情況調整,採集牙模製作專屬貼片,最後將ZERONATE貼片粘貼上牙齒。全程約需2至3次就診,最快可當天完成。
3. 術後管理
手術後需注意幾點:24小時內避免硬食與熱飲,日後按原本保養牙齒的習慣定期回診檢查狀況,並持續維持良好口腔衛生即可。
我適合做ZERONATE嗎?
如果你在猶豫自己是否適合做ZERONATE,不妨看看下列清單,確認自己要不要做吧。
1. 想擁有藝人般的美麗笑容
ZERONATE又被稱為「Natural Laminate」,透過最小化的磨去原生牙,打造自然潔白的笑容。非常適合希望在鏡頭前展現自信形象的藝人、網紅、Youtuber等族群。
2. 透過一次手術就能改善形象
ZERONATE結合美白、矯正與修復功能,省時又省費,尤其在擁有數位設備與技工所的TU牙科,更可大幅縮短療程時間。
3. 想保留原生牙齒
第二代陶瓷貼片需磨去很多牙齒,總讓人卻步,而韓國第三代ZERONATE使用Platinum Foil技術,幾乎不傷原牙,兼具自然與耐久性。
4. 懶得定期進行牙齒美白
傳統美白需反覆管理,ZERONATE具半永久固定色調,適合愛喝咖啡、紅酒等易染色飲品的人,減輕保養負擔。
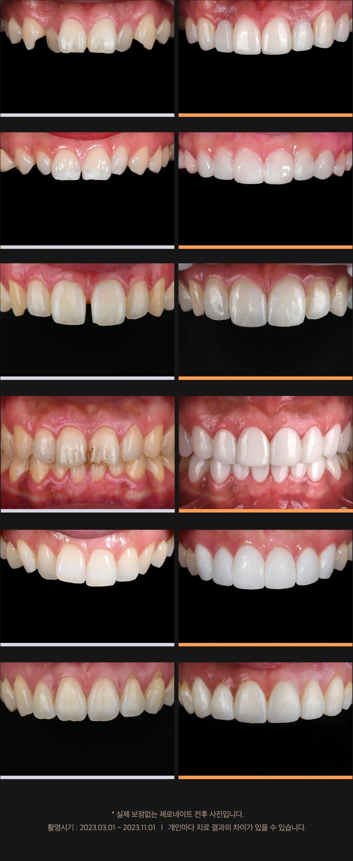
ZERONATE實際前後對比

ZERONATE常見問答
Q. 真的不會磨牙嗎?
➡ 每個人狀況與要求不同,就算有需要磨,也會以最少的程度進行,或其實根本不用磨;但實際上仍需與院長商談後確定。 |
Q. 術後牙齒會不會變得很厚?
➡ 設計過程中會有微笑測試模擬,如果可能會變厚,可選擇不進行手術,或改用更薄的陶瓷進行調整。 |
Q. 會不會因為材質太薄而破掉?
➡ 與牙齒琺瑯質形成化學結合,牢固貼合,是ZERONATE的獨家技術,不易破裂或脫落,耐久性極高。 |
Q. ZERONATE平均壽命是多少?
➡ 比陶瓷貼片的7至10年相比,ZERONATE只要好好管理,即使不更換也行,可直接視為永久。 |
Q. 術後牙齒會敏感嗎?
➡ 貼附後可能會出現短暫敏感,但通常很快恢復正常,牙齦則幾乎不會感到不適。建議手術後仍維持和術前一樣的定期檢查與清潔保養,即使是簡單清潔,也有助於預防牙齦出血或輕微不適。 |
Q. 如果已經有陶瓷貼片,也能做手術嗎?
➡ 可以的,TU牙科經手過非常多先前做過陶瓷貼片,如今改換ZERONATE的患者,後記分享一率都是「更換成ZERONATE後更自然」的高評價。 |
Q. 是否會有疼痛感?
➡ 手術前後幾乎無疼痛感,但若需牙齦整形時,會施打麻藥,基本上術後可立刻恢復正常生活。 |
Q. 女性的嘴巴跟牙齒較小,會不會比較難做手術?
➡ 幾乎沒有因嘴巴小而難以手術的情況,反而是可能要花多一點時間進行手術, 但也不會因爲這樣價格變貴。 |
Q. 做ZERONATE可以順便矯正牙齒嗎?
➡ 只要不是太誇張的情況,即使牙齒稍微不整齊,透過ZERONATE雕塑形象,也能達到矯正的視覺效果。 |
Q. 做完ZERONATE的話可以進行其他醫美嗎?
➡ 基本上建議先完成ZERONATE,再進行其他醫美、施術是不會有問題的。 |
Q. 手術後會有保固期嗎?
➡ 會的,而在正式裝上ZERONATE前,會再三確認形狀與術後的模擬,確保顧客100%滿意。 |
Q. 術後保養有什麼秘訣嗎?
➡ 和原本進行牙齒管理一樣即可,注意牙縫、牙齒背面的清潔,定期刷牙、洗牙、檢查牙齒即可。 |
Q. 是否有退稅?
➡ 以韓元現金、台灣信用卡結帳都可以,且此項目可享免稅優惠。 |
✨點我追蹤我們的instagram
instagram.com/creatrip.tw
Mail:help@creatrip.com
如果你對文章內容有任何意見,或想了解更多資訊,歡迎隨時在留言區留言,也可以透過WhatsApp(+82 10-8818-2915、英文服務)或LINE(@creatrip;中/日文服務)聯絡Creatrip 24小時客服中心;也歡迎來信至help@creatrip.com諮詢。想掌握更多韓國最新資訊,記得追蹤我們的Instagram和Threads!









